Определение резерва кровотока у пациентов с ишемической болезнью сердца
Существующие в настоящее время данные относительно целесообразности коронарной реваскуляризации поддерживают стратегию, основанную на доказанной ишемии. Несмотря на то, что неинвазивные стресс-тесты полезны для выявления ишемии миокарда, они могут неточно идентифицировать региональную ишемию миокарда при многососудистом поражении коронарного русла. Коронарография остается краеугольным камнем для оценки тяжести поражения в катетерной лаборатории. Однако часто это может привести к переоценке или недооценке тяжести коронарного поражения. Особенно это актуально для пограничных поражений со степенью стенозирования (сужения просвета), по данным коронароангиографии, в 50–90%. Это может быть связано с такими ангиографическими ограничениями, как выбранный ракурс проекции, наличие бифуркационных поражений с особенностями контрастирования или характеристиками поражения, а также зависеть от кальцинирования сосуда, его извитости или эксцентричности поражения.
Оценка резерва кровотока (РК), по сравнению с ангиографией, крайне выгодна для определения поражений, нуждающихся в реваскуляризации, у пациентов с многососудистым поражением, и серьезно снижает частоту выраженных сердечных осложнений и событий. Кроме того, в настоящее время РК является стандартом для оценки пограничных стенозов при стабильной ишемической болезни сердца. Ранее проведенное коронарное шунтирование также добавляет сложности в функциональной оценке стенозов во время коронароангиографии, и в этом случае подчеркивается ведущая роль РК при реваскуляризации пациентов с коронарным шунтированием в анамнезе. Таким образом, доступность РК в катетерной лаборатории является правильным шагом на пути к реализации стратегии реваскуляризации, основанной на ишемии.
Заведующий отделением РХМДиЛ сердечно-сосудистый хирург, врач по рентгенэндоваскулярным диагностике и лечению, к. м. н Денис Витальевич Фетцер:
— Методика определения резерва кровотока (фракционного (ФРК) или моментального резерва кровотока (МРК)) была внедрена в рутинную практику МКНИЦ Больница 52 в 2024 году. На данный момент мы провели более 100 исследований и отмечаем огромную клиническую пользу от внедрения данной технологии. Определенной когорте пациентов невозможно в принципе выполнить нагрузочные тесты, либо мы получаем сомнительные результаты нагрузочных тестов у пациентов с клиникой стенокардии напряжения, и нам надо определиться с необходимостью проведения реваскуляризации у них. У таких пациентов необходимо получить объективные данные по ишемии миокарда, и эти данные нам дает определение РК.
Также в нашей практике есть пациенты, у которых, например, по данным коронарографии мы выявляем трехсосудистое поражение коронарного русла. Раньше такие пациенты получали рекомендацию по проведению коронарного шунтирования. Сейчас же у нас есть возможность провести им оценку резерва кровотока по всем пораженным артериям и в некоторых случаях из трехсосудистого поражения пациенты переходят в группу с однососудистым гемодинамически значимым поражением коронарной артерии, которое сразу вылечивается с помощью чрескожного коронарного вмешательства. Таким образом, пациент избегает тяжелой открытой операции на сердце, а реваскуляризации подвергаются только гемодинамически значимые поражения коронарного русла. Гемодинамически незначимыми являются стенозы при значениях ФРК >0,80 и МРК >0,89.
Как проводится измерение резерва кровотока
Исследование проводят во время диагностической коронарографии. Специальный датчик давления заводится в коронарную артерию. Измеряется давление перед стенозом, затем датчик заводится за стеноз и путем введения лекарственного препарата вызывается полнокровие (гиперемия) миокарда. Измеряется давление за стенозом и рассчитывается градиент давления. На основании результата решается вопрос о дальнейшей тактике лечения.
Врач измеряет уровень давления крови за стенозированным участком артерии и перед ним.
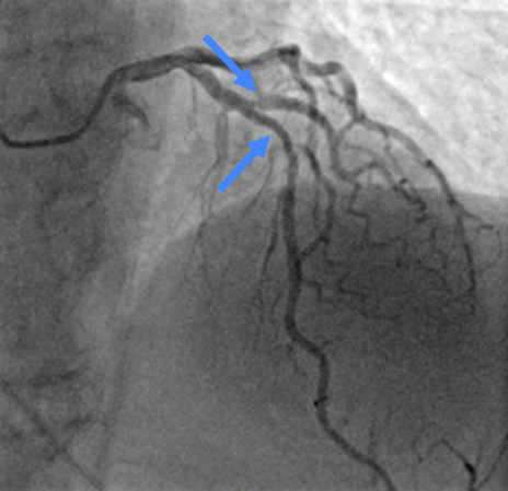
Клинический пример использования моментального резерва кровотока в Больнице 52
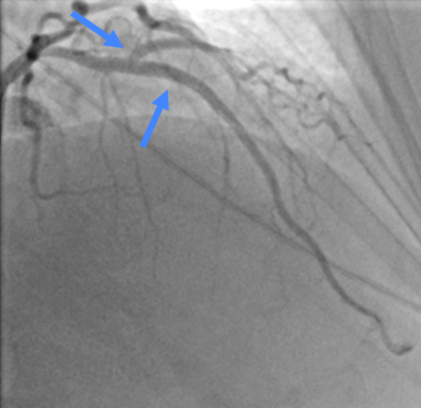
Пациентка П., 72 лет была госпитализирована в Больницу 52 в плановом порядке с клиникой стенокардии напряжения. В прошлую госпитализацию пациентке выполнялось ЧКВ со стентированием диагональной артерии при ОКС с подъемом с ST. В тот момент стеноз в передней межжелудочковой артерии (ПМЖА) был расценен оператором как пограничный и требующий дообследования, была выполнена реканализация, баллонная ангиопластика и стентирование инфаркт-ответственной диагональной артерии (ДА). В настоящую госпитализацию при коронарографии у пациентки визуализируется стеноз в ПМЖА 70%, также был выявлен стеноз в устье ДА перед ранее имплантированным стентом до 80%. Перед коронароангиографией пациентке был выполнен нагрузочный тест: тест незавершенный. В операционной с целью определения гемодинамической значимости стенозов ПМЖА и ДА было выполнено определение моментального резерва кровотока (МРК) в ПЖМА и ДА. Значение МРК в ПМЖА 0,84; в ДА — 0,95. Таким образом, поражение в ПМЖА являлось гемодинамически значимым и требовало стентирования, а поражение в ДА — нет.


После проведения стентирования ПМЖА было выполнено повторное определение моментального резерва кровотока в ПМЖА и ДА и получены значения 0,96 в ПМЖА и 0,95 в ДА, соответственно. Эти данные указывают на то, что стентирование ПМЖА было выполнено адекватно, а поражение устья ДА является гемодинамически незначимым и в стентировании не нуждается.

