Случай успешного лечения двустороннего эмфизематозного пиелонефрита IV класса с сохранением почек
Пациент В., 58 лет, длительно страдающий сахарным диабетом, гипертонической болезнью и мочекаменной болезнью за 3 дня до госпитализации перенёс приступы почечных колик слева и справа, сопровождавшиеся подъемом температуры тела до 38°C.
По тяжести состояния госпитализирован в отделение реанимации и интенсивной терапии № 7 ГБУЗ «МКНИЦ Больница 52 ДЗМ».
При поступлении обращали на себя внимание: лихорадка более 39°C, крайне выраженные признаки системной воспалительной реакции (лейкоцитоз 23,5 Г/л с нейтрофилёзом 94%, С-реактивный белок 370 мг/л, прокальцитонин более 100 нг/мл), тромбоцитопения 105 Г/л, гипоальбуминемия 25 г/л/, признаки полиорганной недостаточности (сердечно-сосудистой, потребовавшей поддержки норадреналином, развитие острого почечного повреждения — повышение уровня креатинина до 272 мкмоль/л), а также повышение уровня глюкозы в крови до 20 ммоль/л.
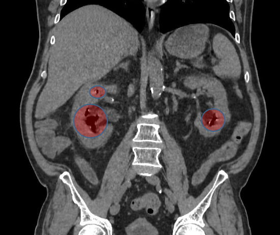
При КТ-обследовании (врач-рентгенолог Горохова Анна Сергеевна) диагностирован эмфизематозный пиелонефрит наиболее тяжелой формы — IV класса.
При выборе тактики лечения очевидным было хирургическое вмешательство для устранения гнойного очага. Выбор же метода лег на плечи мультидисциплинарной команды урологического отделения, отделения реанимации и интенсивной терапии и отделения клинической фармакологии.
Ранее при развитии двустороннего ЭП рекомендовалось экстренное оперативное лечение, в том числе двусторонняя нефрэктомия, что переводило пациента в ренопривное состояние и требовало начала постоянной заместительной почечной терапии. В нашем случае — с одной стороны, пациент однозначно имел все признаки крайне тяжёлого ЭП, с другой — обладал крайне высокими операционными рисками. Кроме того, двусторонняя нефрэктомия потребовала бы проведения постоянной заместительной терапии, а ещё за месяц до госпитализации уровень креатинина у пациента составлял 87 мкмоль/л. Было принято решение выбрать минимально инвазивную, но эффективную тактику.
С учётом тяжести состояния пациента, обусловленного развитием септического шока, и для сохранения функции почек принято решение о проведении двустороннего наружного дренирования собирательной системы почек - чрескожной пункционной нефростомии (хирург — врач урологического отделения Тейхриб Петр Петрович
Параллельно и в послеоперационном периоде проводилась интенсивная терапия. Ведущую роль в лечении играет выбор адекватного антибиотика. Как говорилось ранее, ведущими возбудителями ЭП являются энтеробактерии. С учётом индивидуальных факторов риска инфицирования бактериями-продуцентами бета-лактамазы расширенного спектра врачом-фармакологом отдела клинической факмакологии Кузнецовой Дарьей Степановной назначена терапия карбапенемами. Результаты микробиологического исследования подтвердили правильность назначения — и в крови, и из почек выделена Escherichia coli, продуцирующая БЛРС и чувствительная к выбранному антибиотику.
Все это время врачи-реаниматологи ОРИТ № 7 под руководством заведующего отделением Павлова Дениса Петровича проводили коррекцию септического шока, полиорганной дисфункции и гипергликемии, что создало условия для успешного действия хирургического и антибактериального компонентов лечения.
На фоне проводимой комплексной терапии достигнута стойкая положительная клиническая и лабораторная динамика — регрессировали явления органной дисфункции и системного воспаления, уровень гликемии находился в пределах целевых значений, достигнута санация кровотока. Самое главное — восстановилась функция почек — суточный диурез составил 2000 мл, уровень креатинина снизился до 99 мкмоль/л, мочевины до 7,5 ммоль/л.
Важнейшим достижением является сохранение обеих почек и их функций. Случай наглядно иллюстрирует эффективность мультидисциплинарного подхода и современных малоинвазивных технологий в лечении критических состояний.

Компьютерная томография пациента. Обозначены скопления газа в собирательной системе
и паренхиме правой и левой почек.